Yabancı maddeleri midesinde taşıdı. Sonra da şiddetli ağrıyla hastaneye koştu. Az daha canından oluyordu.

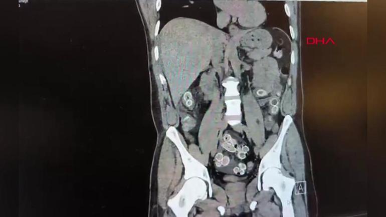
Fas’tan uçakla Türkiye’ye gelen bir kişi, mide ağrısı şikayetiyle özel hastaneye gitti. Şüphelinin mide ve bağırsaklarında uyuşturucu madde tespit edildi.
Hastane yetkilileri durumu polise ekiplerine bildirdi. Hızla ameliyata alınan şüphelinin midesinden 49 adet paketlenmiş, toplam 259 gram ağırlığında uyuşturucu madde çıkarıldı.

Tedavisinin ardından taburcu edilen şüpheli, emniyetteki işlemlerin ardından adliyeye sevk edildi ve çıkarıldığı mahkemece tutuklandı.
